Стоматология «ДЕНТА UA» Осокорки (М) Славутич
г. Киев, ул. Заречная, 1-Б, ЖК Заречный
ПН-BC с 900 до 1900, без выходных
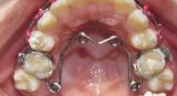
Съемные ортодонтические аппараты
Высококачественные ортодонтические съемные аппараты, которые помогают решить различные ортодонтические проблемы с максимальным комфортом и эффективностью.
Специалисты «ДЕНТА.UA»
-
стоматолог-терапевт
-
стоматолог-ортодонт
-
стоматолог-терапевт
-
Каминский Руслан Станиславович
стоматолог-хирург, стоматолог-ортопед
-
стоматолог-пародонтолог
-
стоматолог-ортодонт высшей категории