Стоматологія «ДЕНТА UA» Осокорки (М) Славутич
м. Київ, вул. Зарічна, 1-Б, ЖК Зарічний
ПН-НД з 900 до 1900, без вихідних
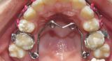
Знімні ортодонтичні апарати
Пропонуємо високоякісні знімні ортодонтичні апарати, які допомагають вирішити різноманітні ортодонтичні проблеми з максимальним комфортом та ефективністю.
Фахівці «ДЕНТА.UA»
-
стоматолог-терапевт
-
стоматолог-ортодонт
-
Сидоренко Сергій Володимирович
стоматолог-терапевт
-
Камінський Руслан Станіславович
стоматолог-хірург, стоматолог-ортопед
-
стоматолог-пародонтолог
-
стоматолог-ортодонт вищої категорії