Dentistry «DENTA UA» Kyiv (M) Slavutich
Kyiv, st. Zarichna, 1-B, LCD Zarichniy
from 900 to 1900, seven days a week
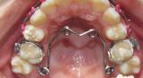
Apaprat orthodontic double-jaw
The double-jaw orthodontic device is a modern bite correction tool used to align teeth and solve various orthodontic problems.