Dental Clinic «DENTA UA» Kyiv (M) Slavutich
Kyiv, Zarichna St., 1-B, Zarichnyi residential complex
from 900 to 1900, seven days a week
Dental restoration, cosmetic dentistry
Dental restorations and aesthetic dentistry at DENTA UA in Kyiv: caries treatment, tooth-colored fillings, front tooth repair and smile-focused restoration near Slavutych metro.
Temporary long-term filling made of fluorine-containing glass ionomer cement
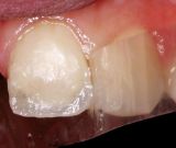
Filling of teeth with deep caries with damage to two or more surfaces, chewing tooth
Sealing of fissures of chewing teeth to prevent caries "Fissurit-F" (1 tooth)
Applying a filling during the period of orthodontic treatment from glass ionomer cement
Applying a filling during the period of orthodontic treatment from a photopolymer composite

